
13652566902
山东省菏泽市牡丹区沙土镇
浏览次数:次 发布时间:2025-01-10 来源:网络
时间过得飞快,牙齿矫正价格表2024版,你的信息库是否也更新了呢?这里为大家分享一下2024牙齿矫正价格多少钱的信息,内含各类牙套的种类和价格。
通过这篇文章,让你快速补充到2024牙齿矫正价格表,北京、上海、广州、深圳、成都、重庆等地牙友均可参考此份2024牙齿矫正价格表哦。
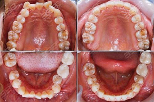
自锁托槽矫正是目前临床使用率很高的矫治器,大部分牙齿矫正患者已经开始摒弃传统托槽矫正器了,因为自锁托槽矫正比传统托槽矫正更加舒适,效率更高一些。
对美观度要求不高的患者,或者牙齿问题较大,隐形牙套不能快速解决问题的情况下,正畸医生还是会建议做自锁托槽矫正的。相对来说,陶瓷自锁托槽矫正的隐形比较好一些,笑起来只能露出一根细细的弓丝。
球面托槽正在被越来越多的医生和患者所选择,光滑面的托槽能够避免口腔溃疡的烦恼,这对正畸患者来说也是非常重要的哦!
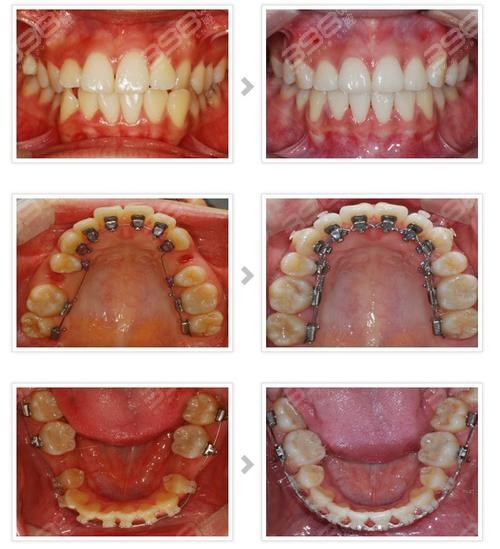
隐形矫正的美观度很高,佩戴方便,而且不需要严格的定期复诊机制,只要遵从医嘱,每天戴够22小时的牙套,就可以一步一步的让牙齿移动到应该在的位置。
隐形牙套对于经常出差、有较长时间需要离开居住地、工作忙不能定期复诊的牙齿矫正患者很适用。
另一款隐形矫正器正在被牙友们所熟知,那就是eBrace舌侧隐形矫正,虽然能够做舌侧矫正的医生并不多,但是它的矫正结果确实让人感觉惊艳!不需要自律的摘戴牙套,在技术正畸医生手下,不齐的牙齿和不良的咬合关系就会得到改善!
虽然牙套的种类和价格多种多样,2024牙齿矫正的价目表只是一个参考,希望能够给正在做功课的牙友们一些帮助!
吸附性义齿作为牙齿修复技术的一种,凭借稳固、舒适和美观的特点,赢得了广泛的认可。在深圳找一家既价格合理又技术好的牙科医院进行治疗,是许多患者比较关注的话题。[详细]
深圳宝安区种植牙哪家医院好?牙齿缺失想要在宝安区进行种植牙的话选择一家好的医院,一定要正规且价格实惠,牙友们都比较好奇,去哪家医院呢?给牙友们推荐深圳世纪河山口腔医院、[详细]
曲靖种植牙多少钱一颗2025价格表:国产种植牙1600+进口种植牙2880+
为了帮助广大市民更好地了解种植牙的价格情况,本文特别整理了曲靖地区2025年种植牙的价格表,涵盖了不同品牌和型号的种植体价格,旨在为患者提供一份多方面的参考。[详细]
为了帮助香港居民更好地了解深圳的牙科医疗资源,本文将详细介绍香港人预约深圳口腔医院的攻略,并汇总深圳牙科医院的排名信息,为您的口腔健康之旅提供多方面的建议。[详细]
合肥哪个医院看牙齿比较好?给牙友们安排在合肥看牙技术好的医院,想要在合肥选择种植牙、牙齿矫正、补牙拔牙等项目推荐合肥贝杰口腔医院、合肥美奥口腔、合肥佳德口腔医院、完美体育 完美体育官网首页合肥中[详细]
398口腔网仅作为网络服务提供者,收集、分享医疗机构信息,服务介绍,咨询服务等。398口腔网除收集个人信息外同时满足会员个性化需求,会把会员信息发送给会员同意范围内的第三方继续完成咨询等服务。
如果用户或网友认为398口腔网存在侵害自身权益的情形,应当向398口腔网(邮箱:)发送权利证明相关材料,我们在收到权利证明后进行审核,对可以初步证明构成侵权的内容采取必要措施。